티스토리 뷰
안녕하세요? 오늘은 팔꿈치 통증 원인과 팔꿈치 통증 해소 방법에 대해서 알아보도록 하겠습니다. 다양한 요인으로 팔꿈치 통증이 발생할 수 있습니다. 팔꿈치는 특히 스포츠 활동으로 인한 부상이 많은 만큼 어떤 원인으로 통증이 발생되고 어떻게 팔꿈치 통증을 해소 할 수 있는지 알아보도록 하겠습니다.
팔꿈치 통증의 원인과 통증 해소 방법
소개
팔꿈치 통증은 모든 계층의 사람들에게 영향을 미치는 일반적인 질병으로, 팔꿈치 관절 주변에 불편함을 나타냅니다. 통증의 원인과 효과적인 치료법을 이해하는 것은 통증을 완화하고 삶의 질을 유지하려는 모든 사람에게 중요합니다.
팔꿈치 통증의 이해
팔꿈치의 해부학적 구조
팔꿈치는 상완과 전완을 연결하는 복잡한 관절로 위팔의 상완골, 팔뚝의 척골 및 요골의 3개 뼈로 구성된 복잡한 경첩 관절로 우리 몸에서 중요한 역할을 합니다. 인대, 힘줄, 근육이 관절을 지지하여 다양한 움직임을 가능하게 하며, 일상생활의 다양한 활동에서 중요한 역할을 합니다.



팔꿈치의 해부학:Anatomy of the Elbow
팔꿈치 관절은 세 개의 주요 뼈로 구성되어 있습니다: 상완골 (upper arm bone), 요골 (forearm's radius bone), 그리고 척골 (forearm's ulna bone). 이 세 뼈는 팔꿈치의 기본적인 구조를 형성하며, 각각 다른 기능을 가지고 있습니다.


- 상완골 (Humerus): 상완골은 어깨와 팔꿈치 사이의 상완에 위치한 긴 뼈입니다. 이 뼈의 하단은 팔꿈치 관절의 일부를 형성하는 두 개의 돌출부, 즉 외측과 내측 상과돌기를 가지고 있습니다.
- 척골 (Ulna): 척골은 전완의 내측에 위치한 뼈로, 팔꿈치의 주된 힌지 기능을 담당합니다. 이 뼈의 상단에는 팔꿈치를 구성하는 중요한 구조인 척골 돌기가 있습니다.
- 요골 (Radius): 요골은 전완의 외측에 위치한 뼈로, 팔의 회전 운동을 가능하게 합니다. 요골 머리는 팔꿈치 관절 내에서 척골과 상호 작용합니다.
인대 및 힘줄:Ligaments and Tendons
팔꿈치의 안정성은 여러 인대에 의해 유지됩니다. 이 중에서도 주요한 것은 외측측부인대 (LCL)와 내측측부인대 (MCL)입니다. 이 인대들은 관절을 지지하고 과도한 움직임을 방지합니다.


- 외측측부인대 (Lateral Collateral Ligament, LCL): 외측측부인대는 팔꿈치의 외측을 강화하며, 상완골과 척골 사이에 위치합니다.
- 내측측부인대 (Medial Collateral Ligament, MCL): 내측측부인대는 팔꿈치의 내측을 강화하며, 상완골과 척골 사이에 위치합니다.
팔꿈치의 움직임은 근육과 그 근육을 뼈에 연결하는 건에 의해 조절됩니다. 이 중에서도 팔꿈치의 주요 근육은 이두근 (근육이 팔을 구부리는 데 도움을 주는)과 삼두근 (팔을 펴는 데 도움을 주는)입니다.
근육과 움직임:Muscles and Movement
팔꿈치 주변의 근육들은 다양한 움직임을 가능하게 합니다. 이 근육들은 팔꿈치를 구부리고, 펴고, 팔을 몸통을 향해 회전시키고, 팔을 바깥쪽으로 회전시키는 등의 움직임을 담당합니다.



- Flexion and Extension: 팔꿈치의 구부림 (굴곡)과 펴짐 (신전)은 주로 이두근과 삼두근에 의해 담당됩니다. 이두근은 팔을 구부리는 데 도움을 주고, 삼두근은 팔을 펴는 데 도움을 줍니다.
- Pronation and Supination: 팔의 회전 운동, 즉 회내 (pronation)와 회외 (supination)는 주로 요골과 척골 사이의 상호 작용에 의해 이루어집니다. 이 운동은 손바닥이 위를 향하거나 아래를 향하도록 팔을 회전시킵니다.
신경:Nerves
팔꿈치 주변에는 여러 신경들이 위치하고 있으며, 이 중 가장 중요한 것은 척골 신경입니다. 척골 신경은 팔꿈치의 터널을 통과하며, 때때로 "팔꿈치의 통증"이나 감각 이상을 유발할 수 있는 "척골 신경증"의 원인이 됩니다.

팔꿈치의 해부학적 구조는 매우 복잡하며, 다양한 뼈, 인대, 근육, 신경들이 서로 복잡하게 상호 작용하여 팔꿈치의 움직임을 가능하게 합니다. 이러한 구조의 이해는 팔꿈치의 기능을 이해하고, 팔꿈치 통증의 원인을 진단하며, 적절한 치료 방법을 선택하는 데 매우 중요합니다.
팔꿈치 통증의 일반적인 원인
팔꿈치 통증은 다양한 원인으로 인해 발생할 수 있으며, 각각의 원인은 팔꿈치 주변의 특정 구조물에 영향을 미칩니다. 이러한 팔꿈치 통증은 테니스 엘보, 골퍼 엘보 같은 통증 증상을 보이며, 일상생활에 불편함을 주고 활동의 범위를 제한할 수 있기 때문에, 원인을 이해하는 것이 중요합니다. 외측상과염으로 불리는 테니스엘보과 내측상과염으로 불리는 골퍼엘보 등 다양한 팔꿈치 통증의 일반적인 원인을 살펴보며 현재 자신의 통증 원인이 무엇인지 확인해보세요.

외측상과염:Tennis Elbow
설명: 테니스 엘보는 외측상과염이라고도 하며, 팔꿈치의 외측 부위에 통증을 유발합니다. 이 상태는 팔꿈치 외측의 건에 과도한 긴장이 가해졌을 때 발생하며, 주로 손목을 반복적으로 사용하는 활동으로 인해 나타납니다.
증상: 팔꿈치의 외측 부위에 통증 및 압통이 있으며, 손을 사용할 때 통증이 악화될 수 있습니다.
내측상과염:Golfer's Elbow
설명: 골 엘보는 내측상과염이라고도 하며, 팔꿈치의 내측 부위에 통증을 유발합니다. 이 상태는 팔꿈치 내측의 건에 과도한 긴장이 가해졌을 때 발생하며, 골프와 같은 특정 스포츠 뿐만 아니라 다양한 활동에서 나타날 수 있습니다.
증상: 팔꿈치의 내측 부위에 통증 및 압통이 있으며, 손잡이를 꽉 쥘 때 통증이 느껴질 수 있습니다.

활액낭염:Bursitis


설명: 활액낭염은 팔꿈치 주변의 활액낭에 염증이 생기는 상태로, 통증과 부종을 유발합니다. 활액낭은 관절 주변에 위치한 작은 주머니로, 관절의 움직임을 부드럽게 하는 역할을 합니다.
증상: 팔꿈치 주변의 붓기, 발적, 열감, 그리고 통증이 특징입니다.
관절염:Arthritis



설명: 관절염은 관절의 염증으로, 오랜 시간에 걸쳐 발생하는 마모와 손상으로 인해 나타날 수 있습니다. 팔꿈치에서는 주로 류마티스 관절염이나 골관절염의 형태로 나타납니다.
증상: 팔꿈치의 통증, 부종, 운동 범위의 제한, 그리고 때때로는 관절의 변형이 관찰될 수 있습니다.
염좌 및 근육통:Sprains and Strains



설명: 염좌는 인대의 부상으로, 팔꿈치 관절을 지탱하는 인대가 과도하게 늘어나거나 찢어졌을 때 발생합니다. 근육통은 근육이나 건에 영향을 미치며, 과도한 사용이나 갑작스러운 부상으로 인해 발생할 수 있습니다.
증상: 염좌는 통증, 부종, 멍, 그리고 운동 범위의 제한을 유발할 수 있으며, 근육통은 해당 부위의 통증과 약화를 가져올 수 있습니다.
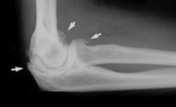
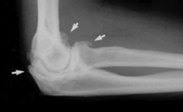
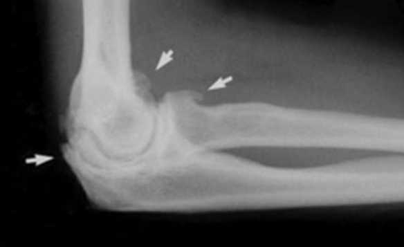
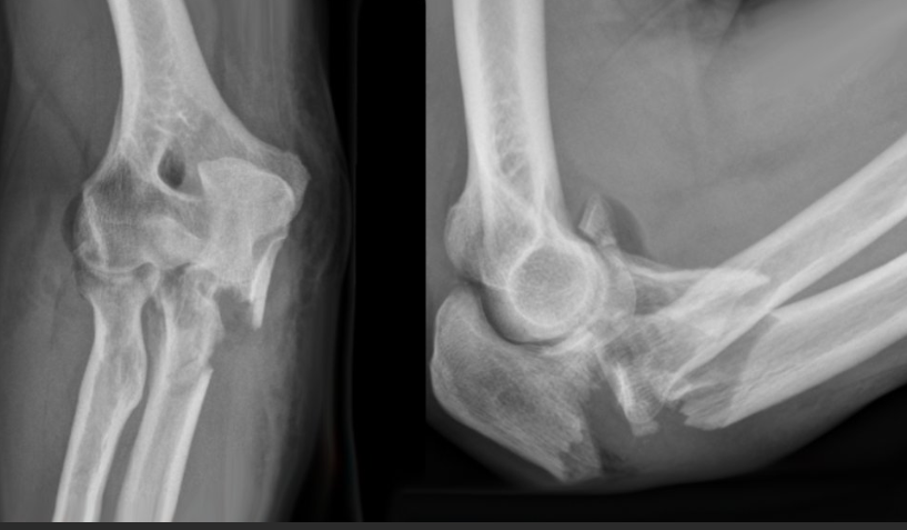
골절:Fractures


설명: 골절은 팔꿈치를 구성하는 뼈 중 하나 이상이 부러지는 것을 의미합니다. 이러한 부상은 주로 낙상이나 직접적인 충격으로 인해 발생합니다.
증상: 극심한 통증, 부종, 변형된 팔꿈치의 모양, 그리고 사용할 수 없는 팔의 기능입니다.
팔꿈치 통증은 다양한 원인으로 인해 발생할 수 있으며, 정확한 진단은 적절한 치료 방법을 결정하는 데 중요합니다. 통증이 지속되거나 일상생활에 지장을 주는 경우, 전문가와 상담하여 원인을 파악하고 효과적인 치료 계획을 세우는 것이 중요합니다
팔꿈치 통증 자가진단 및 의학적 진단 방법
팔꿈치 통증은 여러 가지 원인으로 인해 발생할 수 있으며, 적절한 치료를 위해서는 정확한 진단이 필수적입니다. 통증의 원인을 파악하기 위해 자가진단 방법과 의학적 진단 방법을 이해하는 것이 중요합니다.
자가진단 방법:Self-Diagnosis Methods
자가진단은 통증의 초기 단계에서 통증의 가능한 원인을 이해하고, 필요한 경우 전문적인 진료를 받기 위한 첫걸음이 될 수 있습니다. 다음은 몇 가지 자가진단 방법입니다:
- 통증의 위치와 성격 파악: 팔꿈치 통증이 발생하는 정확한 위치와 통증의 성격(예: 날카로운 통증, 지속적인 통증, 둔통 등)을 확인합니다.
- 활동과의 연관성 분석: 통증이 특정 활동이나 동작을 할 때 악화되는지 여부를 관찰합니다. 예를 들어, 손목을 반복적으로 사용하는 동작 후에 통증이 악화되면 외측상과염(테니스 엘보)의 가능성을 생각해볼 수 있습니다.
- 부기 및 변색 여부 확인: 팔꿈치 주변의 부기, 발적 또는 멍이 들었는지 확인합니다. 이러한 증상은 염증이나 부상을 나타낼 수 있습니다.
- 운동 범위 테스트: 팔꿈치를 구부리고 펴는 운동을 해보며, 통증이 발생하는 정확한 범위와 운동에 제한이 있는지 확인합니다.
의료 진단 방법:Medical Diagnosis Methods
자가진단 후 통증이 지속되거나 증상이 심각한 경우, 전문가의 진단을 받는 것이 중요합니다. 의학적 진단 방법에는 다음과 같은 것들이 있습니다:
- 신체검사:Physical Examination: 의사는 신체 검사를 통해 팔꿈치의 통증, 부기, 운동 범위 등을 평가합니다. 특정 동작이나 압력을 가함으로써 통증의 원인을 파악하려고 할 수 있습니다.
- 영상 진단 검사:Imaging Tests:
- X-ray (X선): 뼈의 상태를 평가하여 골절이나 관절염 같은 문제를 진단할 수 있습니다.
- MRI (자기공명영상): 연조직, 인대, 건 등의 상태를 자세히 볼 수 있어, 테니스 엘보나 골퍼스 엘보 같은 상태를 진단하는 데 유용합니다.
- Ultrasound (초음파): 연조직의 상태를 평가하고, 특정 조건에서는 실시간으로 관절의 움직임을 관찰할 수 있습니다.
- 혈액검사:Blood Tests: 일부 경우에는 염증 반응을 확인하거나 특정 자가면역 질환을 배제하기 위해 혈액 검사가 필요할 수 있습니다.
- 관절액 검사:Joint Fluid Analysis: 관절 주변에서 액체를 채취하여 분석함으로써, 감염, 통풍, 류마티스 질환과 같은 특정 상태를 진단할 수 있습니다.
팔꿈치 통증의 원인을 정확히 파악하기 위해서는 자가진단 방법과 전문가의 의학적 진단이 모두 중요합니다. 통증이 지속되거나 일상생활에 지장을 주는 경우 반드시 전문가와 상담하여 적절한 진단과 치료를 받아야 합니다.
팔꿈치 통증 완화 및 치료 방법
팔꿈치 통증은 다양한 원인에 의해 발생할 수 있으며, 통증의 원인과 정도에 따라 치료 방법이 달라집니다. 통증을 완화하고 팔꿈치의 기능을 회복하기 위한 다양한 치료 및 관리 방법을 알아보겠습니다.
R.I.C.E. 방법법(휴식, 얼음, 압박, 고정)
Rest (휴식): 팔꿈치를 사용하는 활동을 줄여 통증을 줄이고 회복을 촉진합니다.
Ice (얼음): 통증과 부기를 줄이기 위해 얼음팩을 팔꿈치에 15-20분간 하루에 여러 번 적용합니다.
Compression (압박): 부기를 줄이기 위해 팔꿈치 주변에 압박 붕대를 사용할 수 있습니다.
Elevation (고정): 팔을 심장 높이보다 높게 유지하여 부기를 감소시킵니다.
Medications (약물 치료)
Nonsteroidal Anti-Inflammatory Drugs (NSAIDs): 이부프로펜(IBuprofen) 또는 나프록센(Naproxen) 같은 약물이 통증과 염증을 줄이는데 도움이 될 수 있습니다.
물리치료:Physical Therapy
스트레칭과 운동: 팔꿈치 주변 근육의 유연성과 강도를 높이는 운동을 통해 통증을 줄이고 기능을 회복할 수 있습니다.
초음파 또는 열 치료: 조직의 치유를 촉진하고 근육의 긴장을 완화할 수 있습니다.
보조기 또는 테이핑: 팔꿈치 주변에 압력을 가하여 통증을 줄이고 건의 회복을 돕는 특수 보조기나 테이핑을 사용할 수 있습니다.
수술 치료:Surgery
수술 적응증(Indications for Surgery): 보존적 치료에도 불구하고 통증이 지속되거나, 심각한 손상 또는 변형이 있는 경우 수술적 치료가 필요할 수 있습니다.
수술 옵션(Surgical Options): 수술은 손상된 조직의 제거, 건의 재건, 관절의 교정 등을 포함할 수 있습니다.
생활 습관 수정:Lifestyle Modifications
작업 환경 조정 (Ergonomic Adjustments): 일상생활이나 작업 환경에서 팔꿈치에 무리가 가지 않도록 조정합니다.
활동 수정 (Activity Modification): 팔꿈치에 부담을 주는 활동을 피하거나 수정하여 통증을 관리합니다.
대체 치료법:Alternative Therapies
침술: 일부 경우에 통증 완화에 도움이 될 수 있습니다.
마사지 치료: 근육 긴장을 완화하고 혈류를 증가시켜 통증을 줄일 수 있습니다.
팔꿈치 통증은 다양한 치료 및 관리 방법을 통해 완화될 수 있습니다. 증상에 따라 적절한 치료법을 선택하는 것이 중요하며, 경우에 따라 여러 치료법을 병행할 수도 있습니다. 통증이 지속되거나 심각한 경우에는 전문가와 상담하여 개인에게 맞는 최적의 치료 계획을 수립해야 합니다.
결론
팔꿈치 통증은 다양한 원인에 의해 발생할 수 있지만, 이를 이해하고 효과적인 치료법을 시행하면 삶의 질을 크게 향상시킬 수 있습니다. 지속적인 문제의 경우 전문적인 의학적 조언이 가장 중요합니다.
FAQ
- 팔꿈치 통증이 더 심각한 상태를 나타낼 수 있습니까? 예, 대부분의 팔꿈치 통증은 과도한 사용이나 경미한 부상으로 인해 발생하지만 때로는 관절염이나 골절과 같은 더 심각한 상태를 나타낼 수 있습니다.
- 팔꿈치 통증이 낫는 데 얼마나 걸리나요? 치유 시간은 통증의 원인과 심각도에 따라 다릅니다. 경미한 부상은 몇 주 안에 치유될 수 있지만, 더 심각한 부상은 몇 달이 걸릴 수 있습니다.
- 팔꿈치 통증을 예방하기 위한 특별한 운동이 있나요? 그렇습니다. 팔뚝 근력과 팔꿈치 유연성에 초점을 맞춘 운동은 팔꿈치 통증을 예방하는 데 도움이 될 수 있습니다.
- 팔꿈치 통증이 있어도 운동해도 안전한가요? 가벼운 운동이 도움이 될 수 있지만 상태가 악화되지 않도록 의료 전문가와 상담하는 것이 중요합니다.
- 식단 변화가 팔꿈치 통증에 영향을 미칠 수 있나요? 식단만으로는 팔꿈치 통증을 치료할 수 없지만 균형 잡힌 식단은 전반적인 관절 건강과 염증 감소를 지원할 수 있습니다.
'건강' 카테고리의 다른 글
| 당뇨 예방법 4가지 생활 습관 (0) | 2025.03.20 |
|---|---|
| 목 디스크 증상과 원인 해결 방법 (3) | 2024.03.13 |
| 엉덩이 근육 통증 원인과 해결방법 (0) | 2024.03.05 |
| 무릎통증 치료방법과 재활운동 방법 (1) | 2024.02.14 |
| 다리운동 효과적인 지방빼는 5가지 방법 (0) | 2024.02.01 |
