티스토리 뷰
안녕하세요? 오늘은 인공관절 수술 종합안내를 해드리겠습니다. 인공관절 수술은 무엇이며, 인공관절 수술의 장점과 단점. 그리고 인공관절 수술의 절차와 우려사항에 대해서도 알아보도록 하겠습니다. 인공관절을 알아보고 계신 분이라면 꼭 정독해 보세요.
인공관절 수술 종합안내: 새로운 삶의 시작
소개
빠르게 흐르는 일상생활에서 기동성은 독립적인 생활을 유지하는 데 필수적입니다. 불행하게도 많은 사람들에게 관절 문제로 인한 거동의 불편함을 겪고 있습니다. 이 글을 통해 인공관절 수술은 무엇인지 정확히 알아보세요. 또 인공관절의 장, 단점을 살펴보시고 신중히 선택하시길 바랍니다.



관절 문제의 증가
나이가 들수록 우리의 관절은 불가피하게 마모됩니다. 이것은 유전적인 요소, 생활양식 선택 및 기저 질환과 같은 다양한 요인에서 기인할 수 있습니다. 이러한 문제는 통증, 경직 및 기동성 문제로 이어져 삶의 질을 심각하게 낮추는 영향을 미칠 수 있습니다.
인공관절 수술이란?
인공관절 수술 또는 관절 교체 수술은 손상된 또는 악화된 관절을 인공 임플란트로 교체하는 의료 절차입니다. 이러한 임플란트는 천연 관절의 기능과 움직임을 모방하도록 정교하게 설계되어 있어 환자가 잃어버린 기동성을 되찾을 기회를 제공합니다.
인공관절 수술의 종류
인공관절 수술은 관절 치환 수술 또는 관절성형술이라고도 알려져 있으며, 손상되거나 악화된 관절을 인공 임플란트 또는 보철물로 교체하는 의료 시술입니다. 이 수술은 일반적으로 다양한 관절 문제가 있는 개인의 통증 완화, 관절 기능 개선, 삶의 질 향상을 위해 시행됩니다. 인공 관절 수술에는 여러 가지 유형이 있으며 각각 특정 관절 관련 문제를 해결하기 위해 맞춤화되었습니다. 이러한 유형을 자세히 살펴보겠습니다.
무릎 치환술(Total Knee Arthroplasty)

적응증: 무릎 치환술은 심각한 무릎 관절염, 류마티스 관절염, 골관절염 또는 무릎 부상으로 고통받는 개인에게 권장되는 경우가 많습니다.
절차: 이 수술에서는 허벅지 뼈(대퇴골)와 정강이뼈(경골)의 끝 부분을 포함하여 무릎 관절의 손상된 부분을 금속 및 플라스틱 부품으로 교체합니다. 이러한 구성 요소는 관절의 자연스러운 움직임과 기능을 재현합니다.
혜택: 무릎 치환술은 통증을 크게 줄이고 이동성을 향상시키며 환자의 일상 활동 수행 능력을 향상시킬 수 있습니다.
고관절 치환술(Total Hip Arthroplasty)





적응증: 고관절 치환술은 고관절 골관절염, 류마티스 관절염, 무혈성 괴사 또는 고관절 골절이 있는 개인에게 일반적으로 수행됩니다.
절차: 고관절 치환술 중 손상된 고관절의 볼-소켓 구성 요소를 인공 부품으로 교체합니다. 이 절차는 다양한 수술적 접근법을 사용하여 수행될 수 있습니다.
혜택: 고관절 치환술은 통증을 완화하고 고관절 기능을 회복하며 환자가 독립성과 이동성을 회복할 수 있도록 해줍니다.
어깨 치환술(Total Shoulder Arthroplasty)




적응증: 이 수술은 심각한 어깨 관절염, 회전근개 파열, 기타 어깨 관절 문제가 있는 환자에게 권장됩니다.
절차: 어깨 전치환술에서는 어깨 관절의 볼(상완골두)과 소켓(관절와)을 모두 금속과 플라스틱으로 만든 인공 부품으로 교체합니다.
혜택: 어깨 치환 수술은 만성 어깨 통증을 완화하고, 어깨 이동성을 향상시키며, 환자의 머리 위 활동 수행 능력을 향상시킬 수 있습니다.
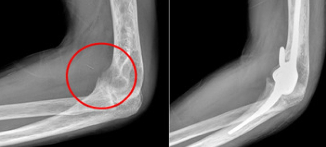
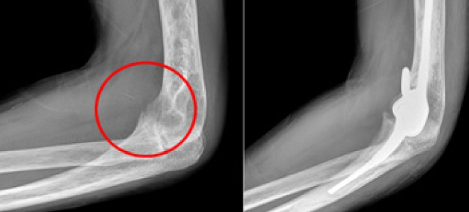
팔꿈치 치환술 (Total Elbow Arthroplasty)


적응증: 팔꿈치 관절 전치환술은 심한 팔꿈치 관절염, 외상성 부상 또는 팔꿈치 관절에 영향을 미치는 특정 골절과 같은 상태에 대해 시행됩니다.
절차: 이 수술에서는 팔꿈치 관절의 손상된 부분을 금속 경첩을 포함한 인공 부품으로 교체합니다. 이를 통해 팔꿈치 움직임이 향상됩니다.
혜택: 팔꿈치 교체는 통증을 완화하고, 관절 안정성을 향상시키며, 팔꿈치 기능을 회복시켜 환자가 일상 작업을 더 쉽게 수행할 수 있게 해 줍니다.
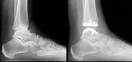
발목 치환술 (Total Ankle Arthroplasty)


적응증: 발목 전치환술은 일반적으로 말기 발목 관절염이나 심각한 발목 관절 기형이 있는 개인에게 권장됩니다.
절차: 이 수술에서는 손상된 발목 관절을 금속과 플라스틱 부품의 조합으로 교체하여 지지력과 향상된 이동성을 제공합니다.
혜택: 발목 교체는 통증을 완화하고 발목 움직임을 개선하며 환자의 걷기 능력과 충격이 적은 활동에 참여할 수 있는 능력을 향상시킬 수 있습니다.
각 유형의 인공 관절 수술에는 고유한 고려 사항과 잠재적인 위험이 있다는 점에 유의하는 것이 중요합니다. 관절 치환술을 받기로 한 결정은 개인의 특정 상태를 평가하고 가장 적절한 치료 계획을 결정할 자격을 갖춘 정형외과 의사와 상담하여 이루어져야 합니다. 이러한 수술은 상당한 이점을 제공할 수 있지만 최상의 결과를 얻으려면 수술 후 재활 및 후속 관리가 중요합니다.
인공관절 수술 절차
관절 치환 수술 또는 관절성형술이라고도 알려진 인공관절 수술은 손상되거나 악화된 관절을 인공 임플란트 또는 보철물로 교체하기 위해 수행되는 복잡한 절차입니다. 수술의 성공 여부는 각 단계의 정확한 계획과 실행에 달려 있습니다. 아래에서는 정확한 사실을 바탕으로 인공관절 수술의 각 단계를 자세히 설명드리겠습니다.

1. 수술 전 평가:
- 환자 평가: 수술 전 환자는 의료진의 종합적인 평가를 받습니다. 이 평가에는 환자의 병력 검토, 신체검사, 엑스레이, CT 스캔, MRI 스캔과 같은 진단 테스트가 포함됩니다.
- 관절 평가: 손상된 관절을 철저히 검사하여 손상 정도, 변형 및 관련 상태를 확인합니다.
2. 수술 전 준비:
- 환자 교육: 환자는 위험, 이점, 예상 결과를 포함하여 수술에 대한 자세한 정보를 받습니다. 사전 동의를 얻었습니다.
- 의학적 최적화: 당뇨병이나 심장병과 같은 기저 질환이 있는 환자는 합병증의 위험을 줄이기 위해 수술 전에 상태를 최적화해야 할 수 있습니다.
- 약물 조정: 혈액희석제 등 수술에 지장을 줄 수 있는 약물은 의료진의 지도 하에 조정하거나 중단합니다.
- 생활 방식 수정: 수술 결과를 개선하기 위해 환자에게 금연, 건강한 체중 유지 등 생활 방식을 수정하도록 권고할 수 있습니다.
- 수술 전 피부 준비: 감염 위험을 줄이기 위해 수술 부위를 주의 깊게 청소하고 준비합니다.
3. 마취:
- 마취 선택: 환자의 건강 상태와 수술 과정에 따라 전신 마취(환자가 의식을 잃은 경우) 또는 국소 마취(수술 부위만 마비되는 경우)가 시행됩니다.
- 환자 모니터링: 수술 중 마취팀은 심박수, 혈압, 산소 수치 등 환자의 활력 징후를 면밀히 모니터링합니다.
4. 수술 절차:
- 절개: 영향을 받은 관절 위에 절개를 하여 손상된 관절 구성 요소에 접근할 수 있도록 합니다.
- 관절 노출: 수술팀은 손상된 관절 표면에 접근할 수 있도록 근육과 기타 조직을 옆으로 움직여 관절을 조심스럽게 노출시킵니다.
- 손상된 조직 절제: 뼈 끝, 연골, 손상된 인대 등 손상되거나 병든 관절 구성 요소를 제거합니다.
- 임플란트 배치: 보철 관절 표면을 포함한 인공 관절 구성 요소는 시멘트 또는 압입 기술과 같은 특수 재료를 사용하여 제자리에 고정됩니다.
- 폐쇄: 적절한 임플란트 위치와 안정성을 확인한 후 수술 절개 부위를 봉합사나 스테이플로 봉합합니다.
- 배액관 배치(선택 사항): 어떤 경우에는 치유 초기 단계에서 과도한 체액을 수집하기 위해 수술 부위 근처에 수술용 배액관을 배치할 수 있습니다.
5. 수술 후 관리:
- 회복실: 수술 후 환자가 의식을 되찾거나 활력 징후가 안정될 때까지 회복실에서 환자를 면밀히 모니터링합니다.
- 통증 관리: 회복 기간 동안 환자의 편안함을 보장하기 위해 통증 관리 전략이 구현됩니다.
- 물리 치료: 재활은 수술 직후, 대개 같은 날 시작됩니다. 물리치료사는 환자와 협력하여 관절의 이동성, 근력 및 기능을 개선합니다.
- 모니터링: 환자는 감염, 혈전 또는 임플란트 관련 문제와 같은 합병증의 징후가 있는지 정기적으로 모니터링됩니다.
6. 입원 및 퇴원:
- 입원 기간: 입원 기간은 수술 유형 및 환자 개개인의 요인에 따라 다릅니다.
- 퇴원 계획: 퇴원 계획에는 수술 후 관리, 이동성 및 약물 관리에 대한 교육이 포함됩니다.
7. 후속 진료:
- 정기 후속 진료 예약: 환자는 진행 상황을 모니터링하고 우려 사항을 해결하며 치유 과정을 평가하기 위해 수술팀과 함께 후속 진료 예약을 예약합니다.
- 장기 모니터링: 일부 환자의 경우 인공 관절의 기능과 내구성을 보장하기 위해 장기 모니터링이 필요할 수 있습니다.
인공 관절 수술에 사용되는 구체적인 단계와 기술은 교체되는 관절(무릎, 고관절, 어깨 등)과 환자의 고유한 상황에 따라 달라질 수 있다는 점을 유념하는 것이 중요합니다. 인공관절 수술에 대한 이러한 세심한 접근은 통증 완화, 운동성 회복, 전반적인 관절 기능 향상을 통해 환자의 삶의 질을 향상시키는데 도움을 줍니다. 환자는 시술의 세부 사항과 예상 결과에 대해 논의하기 위해 항상 의료 서비스 제공자와 상담해야 합니다.
인공 관절 수술의 장점과 단점
관절 치환 수술 또는 관절성형술이라고도 알려진 인공 관절 수술은 심각한 관절 통증과 운동 장애로 고통받는 개인에게 매우 효과적인 치료 옵션이 될 수 있습니다. 그러나 모든 의료 시술과 마찬가지로 장점과 단점이 있습니다. 아래에서는 실제 정보를 바탕으로 인공관절 수술의 장단점을 자세히 설명하겠습니다.

인공관절수술의 장점:
1. 통증 완화:
장점: 관절 치환 수술의 가장 중요한 이점 중 하나는 만성 관절 통증의 완화입니다. 이는 환자의 삶의 질을 크게 향상시켜 환자가 불편함을 최소화하면서 일상 활동에 참여할 수 있게 해 줍니다.
사실: 다수의 연구에 따르면 대부분의 관절 치환술 환자는 수술 후 상당한 통증 감소를 경험하는 것으로 나타났습니다.
2. 관절 기능 개선:
장점: 관절 치환술은 관절 기능을 회복시켜 환자가 수술 전에는 할 수 없었던 이동성을 회복하고 활동을 수행할 수 있게 해 줍니다.
사실: 환자들은 성공적인 관절 치환술 후 관절 유연성과 운동 범위가 증가했다고 보고하는 경우가 많습니다.
3. 향상된 삶의 질:
장점: 관절 수술은 환자가 활동적이고 독립적인 생활 방식을 영위할 수 있는 능력을 회복함으로써 환자의 전반적인 삶의 질을 크게 향상시킬 수 있습니다.
사실: 환자들은 종종 신체적, 정서적 웰빙 개선, 사회적 참여 증가, 진통제 의존도 감소를 경험합니다.
4. 장기 내구성:
장점: 최신 관절 임플란트는 내구성이 뛰어나고 오래 지속되도록 설계되어 환자에게 수년 동안 신뢰할 수 있는 관절 기능을 제공합니다.
사실: 관절 임플란트는 생체 적합성과 강도로 잘 알려진 티타늄, 세라믹과 같은 재료로 만들어집니다.
5. 약물 의존성 감소:
이점: 많은 관절 치환술 환자는 수술 후 진통제의 필요성을 줄이거나 없앨 수 있어 약물 관련 부작용 및 의존성의 위험을 줄일 수 있습니다.
사실: 연구에 따르면 관절 치환술을 받은 사람들의 진통제 사용이 크게 감소한 것으로 나타났습니다.
6. 향상된 수면의 질:
이점: 관절 통증 감소 및 이동성 개선으로 인해 수면의 질이 향상되고 전반적인 휴식이 향상되어 신체적, 정신적 건강에 도움이 됩니다.
사실: 환자들은 성공적인 관절 교체 후 수면 패턴이 개선되고 수면 장애가 감소했다고 보고하는 경우가 많습니다.
인공관절수술의 단점:

1. 수술 위험:
단점: 다른 수술과 마찬가지로 관절 치환술에도 감염, 혈전, 마취 관련 합병증 등의 위험이 내재되어 있습니다.
사실: 이러한 합병증의 위험은 일반적으로 낮지만 발생할 수 있으므로 주의 깊은 모니터링과 관리가 필요합니다.
2. 재활 및 회복:
단점: 관절 수술로부터의 회복은 시간이 오래 걸리고 어려운 과정일 수 있습니다. 일반적으로 물리 치료가 포함되며 환자는 불편함이나 일시적인 제한을 경험할 수 있습니다.
사실: 완전한 회복은 몇 주에서 몇 달이 걸릴 수 있으며, 재활 정도는 개인 및 수술 유형에 따라 다릅니다.
3. 인공관절의 제한된 수명:
단점: 인공관절의 내구성이 있지만, 시간이 지남에 따라 마모로 인해 임플란트가 악화되어 재수술이 필요할 수 있습니다.
사실: 관절 임플란트의 수명은 다양할 수 있으며 일부는 15~20년 이상 지속되지만 모든 환자에게 보장되는 것은 아닙니다.
4. 수술 합병증:
단점: 관절 치환 수술은 보형물 정렬 불량, 탈구, 해리 등의 합병증을 유발할 수 있으며, 이로 인해 추가적인 개입이 필요할 수 있습니다.
사실: 수술 합병증의 발생은 다양하지만, 숙련된 수술 기술과 세심한 수술 후 관리로 이러한 위험을 최소화할 수 있습니다.
5. 비용:
단점: 관절 치환 수술은 비용이 많이 들고 보험 적용 범위가 다를 수 있습니다. 일부 환자에게는 재정적 부담이 우려될 수 있습니다.
사실: 관절 수술 비용에는 수술 전 평가, 수술, 입원, 재활 및 후속 치료가 포함되어 상당한 금액이 될 수 있습니다.
관절 치환 수술을 고려하는 환자는 의료 서비스 제공자와 상담하여 수술에 대한 개인의 적합성을 평가하고 잠재적인 이점과 위험에 대해 철저하게 논의하는 것이 중요합니다. 인공 관절 수술이 수많은 삶을 변화시켰지만, 완벽한 해결책 아니며, 정보에 입각한 의사 결정이 성공을 위해 매우 중요합니다.
인공관절 수술의 일반적인 우려사항

일상 활동을 다시 시작할 수 있을까요?
대부분의 환자는 수술 후 일상 활동을 재개할 수 있지만, 수술 후 지침을 따르고 물리 치료에 참여하는 것이 중요합니다.
어떠한 위험이 있나요?
수술과 관련하여 감염, 혈전 또는 임플란트 관련 문제와 같은 위험이 있습니다. 그러나 이러한 위험은 상대적으로 낮으며 이로부터 얻는 이점이 종종 이를 상회합니다.
회복에는 얼마나 걸릴까요?
회복 기간은 수술 유형과 개인적인 요소에 따라 몇 주에서 몇 달까지 다를 수 있습니다.
수술 후 여행이 가능한가요?
회복 후 여행이 가능하지만 외과의사와 상의하고 신체적으로 준비가 되었는지 확인하는 것이 중요합니다.
인공 관절 수술은 보험으로 지원되나요?
인공관절 수술비 지원 사업이 있습니다.
결론
인공 관절 수술은 무수한 개인의 삶을 변화시키는 놀라운 의학적 발전입니다. 이것은 환자들이 기동성을 되찾고 통증을 완화하며 전반적인 웰빙을 향상시킬 수 있는 새로운 삶의 시작을 제공합니다. 관절 문제로 고통받고 있다면, 이 혁신적인 옵션을 의료 제공자와 함께 논의하는 것을 고려해 보십시오.
FAQ
1. 인공 관절 수술은 아프다는데, 맞나요?
수술 후 일부 불편함이 있을 수 있지만 대부분의 환자는 상당한 통증 완화를 경험합니다.
2. 관절 수술에 사용될 임플란트 종류를 선택할 수 있나요?
외과 의사는 환자의 특정 요구 사항과 상태를 기반으로 가장 적합한 임플란트를 권장합니다.
3. 인공 관절 수술의 장기 결과는 어떻게 되나요?
많은 환자가 수년 동안 관절 기능이 향상되고 삶의 질이 향상됩니다.
4. 인공 관절 수술에 연령 제한이 있나요?
나이만으로는 결정 요소가 아닙니다. 결정은 전반적인 건강 상태와 관절 상태를 기반으로 합니다.
5. 관절 수술 후에 스포츠나 격렬한 활동을 할 수 있나요?
개인적인 진행 상황과 외과 의사의 조언에 따라 어떤 활동을 점차적으로 재개할 수 있을 수 있습니다.
'건강' 카테고리의 다른 글
| 손목 터널 증후군 원인과 해결 방법 (0) | 2024.01.02 |
|---|---|
| 발목 통증 원인과 치료방법 종합안내 (3) | 2023.12.19 |
| 무릎 통증 원인과 예방조치 (0) | 2023.12.15 |
| 우울증 자가진단 및 극복 방법 (0) | 2023.12.14 |
| 고관절 통증 증상과 원인 해결방법 (0) | 2023.12.14 |
