티스토리 뷰
안녕하세요? 오늘은 발목 통증 원인과 치료방법 종합안내를 해드리겠습니다. 발목은 누구나 쉽게 다칠 수 있는 부위중 하나 입니다. 일상생활이나 각종 운동에서 흔히 다치기도 하고, 특정한 자세나 불의의 사고로 다칠 수 있습니다. 발목 통증 원인과 치료방법을 안내해드리겠습니다.
발목 통증 원인과 치료방법 종합안내
발목 통증?



발목 통증은 발목관절에 느껴지는 불편감이나 통증을 말합니다. 경증부터 중증까지 다양하며 갑자기 발생하거나 시간이 지남에 따라 점진적으로 발생할 수 있습니다. 발목 통증은 한쪽 또는 양쪽 발목에 영향을 미칠 수 있으며 다양한 요인에 의해 발생할 수 있습니다.
일반적인 증상
발목 통증의 일반적인 증상으로는 부종, 압통, 경직, 영향을 받은 발목의 체중 지탱 어려움 등이 있습니다. 구체적인 증상은 근본 원인에 따라 달라질 수 있습니다.
발목 통증의 원인과 치료방법
물론, 발목 통증의 흔한 원인에 대해 더 자세히 알아보겠습니다:
1. 염좌와 긴장(삠)


발목을 삐끗 하거나 뒤틀린 경우 발목 주변의 인대와 힘줄을 과도하게 늘이거나 찢어내는 것으로 인해 발생하는 가장 흔한 발목 통증 원인 중 두 가지입니다. 각각에 대해 자세히 알아보겠습니다:
염좌 (Sprains)
염좌는 주로 인대를 관여하며 발목이 정상 범위를 벗어나 무리하게 비틀거나 트여 발생할 수 있습니다. 이로써 인대가 늘어나거나 찢어질 수 있으며, 이는 발목의 통증, 부종 및 불안정감을 초래할 수 있습니다.
치료방법:
- 통증이 있는 발목의 움직임을 제한하고 쉬어줍니다.
- 부종을 줄이기 위해 얼음찜질을 적용합니다.
- 발목을 밴딩으로 압박합니다.
- 부종을 최소화하기 위해 발목을 높게 위치 시킵니다.
- 중요한 것은 중증도에 따라 브레이스나 물리 치료가 필요할 수 있습니다.

긴장; '삠'(Strains)
반면, 발목을 삔 경우 발목 주변의 근육과 힘줄에 영향을 미칩니다. 발목 근육 주변의 급격한 움직임, 과도한 늘이기 또는 반복적인 스트레스가 근육에 영향을 줄 수 있습니다.
치료방법:
- 효과적인 회복을 위해 환부의 근육과 힘줄에 휴식이 필요합니다.
- 통증과 부종을 줄이기 위해 얼음을 적용합니다.
- 가벼운 이완 운동 및 물리 치료가 회복에 도움이 될 수 있습니다.
- 의사나 전문가의 조언에 따라 비교적 쉽게 구할 수 있는 진통제를 사용할 수 있습니다.
2. 관절염과 관절 염증


관절염은 관절의 염증을 포함하는 상태입니다. 이는 발목을 포함한 몸의 어떤 관절이든 영향을 미칠 수 있습니다. 발목에서 볼 수 있는 두 가지 일반적인 관절염 유형은 다음과 같습니다:
골관절염 (Osteoarthritis)
골관절염은 주로 나이가 들면서 연골이 점차 붕괴되는 과정과 관련이 있습니다. 발목에서는 연골이 파괴되면서 통증, 경직 및 기동성 감소가 발생할 수 있습니다.
치료방법:
- 통증을 완화시키는 약물 복용이 필요합니다.
- 발목을 강화하기 위한 물리 치료가 필요할 수 있습니다.
- 브레이스나 교정기와 같은 보조 기기 사용이 필요할 수 있습니다.
- 중증한 경우 손상된 관절을 대체하는 수술이 필요할 수 있습니다.
류머티스 관절염 (Rheumatoid Arthritis)
류머티스 관절염은 면역 체계가 관절을 둘러싼 막인 동맥막을 공격하는 자동 면역 질환으로, 발목에 통증, 부종 및 변형을 초래할 수 있습니다.
치료 방법 :
- 염증을 줄이고 관절 손상을 늦추기 위한 약물 복용이 필요합니다.
- 관절 기능 유지를 위한 물리 치료가 필요합니다.
- 생활 방식을 수정하고 보조 기기 사용이 필요할 수 있습니다.
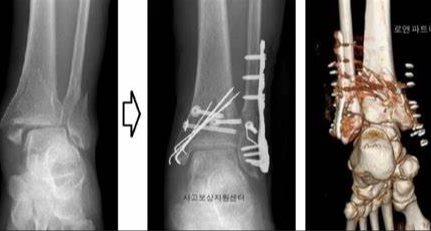
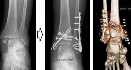
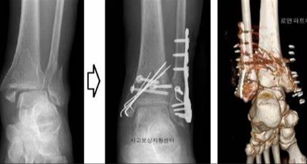
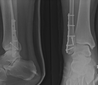
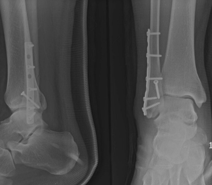
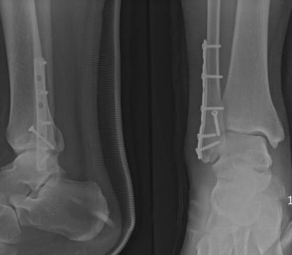
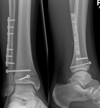
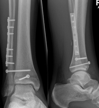
3. 골절



발목 골절은 발목 뼈 중 하나 이상이 부러진 경우를 말합니다. 이는 추락, 사고 또는 스포츠 부상과 같은 다양한 이유로 발생할 수 있습니다.
치료 방법 :
- 캐스트, 스플린트 또는 브레이스로 고정합니다.
- 일부 경우에는 부러진 뼈를 다시 정렬하고 안정화하기 위해 수술이 필요할 수 있습니다.
- 힘과 기동성을 되찾기 위한 물리 치료가 필요할 수 있습니다.
4. 과도한 사용으로 인한 부상
과도한 사용으로 인한 부상은 반복적인 움직임이나 발목에 과도한 스트레인을 가하는 활동으로 인한 것으로, 아킬레스 건염과 같은 상태를 포함할 수 있습니다.
치료 방법 :
- 통증을 완화하고 피하는 활동에 휴식이 필요합니다.
- 영향을 받은 부위를 강화하기 위한 물리 치료가 필요합니다.
- 유연성을 향상시키기 위한 스트레칭 운동이 필요합니다.
- 교정 및 신발 수정을 위한 교정기 또는 신발 수정이 필요할 수 있습니다.
발목 통증을 겪고 있다면 적절한 진단과 통증 완화를 위한 맞춤형 치료 계획을 위해 의료 전문가와 상담하는 것이 중요합니다. 그들은 발목 통증의 근본 원인을 판단하고, 불편함을 완화하고 발목 기능을 복구하기 위한 가장 적절한 치료 옵션을 권장할 수 있습니다.
발목 통증 대처하기



통증 및 불편함 관리
발목 통증을 다루는 것은 어려울 수 있지만 불편함을 관리하기 위해 사용할 수 있는 몇 가지 전략이 있습니다.
일반의약품 진통제
이부프로펜이나 아세트아미노펜과 같은 일반의약품 진통제는 통증을 완화하고 염증을 줄이는 데 도움이 될 수 있습니다. 약을 처방 받을 때는 항상 의사나 약사와 상담하세요.
물리 치료
물리 치료는 발목의 힘과 유연성을 향상시켜 장기적으로 통증을 줄일 수 있습니다.
지지력이 뛰어난 신발
적절한 아치 지지력을 갖춘 올바른 신발을 선택하면 발목 통증을 예방하고 편안함을 제공할 수 있습니다.
결론
결론적으로 발목 통증은 다양한 원인에 의해 발생할 수 있지만 각 증상별로 효과적인 해결 방법이 있습니다. 이동성과 삶의 질을 되찾기 위해서는 근본적인 원인을 파악하고 적절한 치료법을 시행하는 것이 중요합니다.
FAQ
- 질문: 발목 통증이 더 심각한 질병의 징후일 수 있나요? 답변: 그렇습니다. 만성 또는 재발성 발목 통증은 기저 질환이 있음을 나타낼 수 있으므로 의료 전문가와 상담하는 것이 좋습니다.
- 질문: 발목 골절은 항상 수술이 필요한가요? 답변: 발목 골절에 수술이 항상 필요한 것은 아닙니다. 골절의 정도와 유형에 따라 다릅니다.
- 질문: 발목 통증에 대한 자연 요법이 있습니까? 답변: 어떤 사람들은 온찜질/냉찜질, 약초 보충제와 같은 자연 요법을 통해 발목 통증을 완화합니다.
- Q: 운동으로 발목 통증을 예방할 수 있나요? 답변: 정기적인 발목 강화 운동은 발목 통증과 부상을 예방하는 데 도움이 될 수 있습니다.
- 질문: 발목 통증이 있으면 언제 즉시 진료를 받아야 합니까? 답변: 탈구나 복합 골절 등 심각한 부상이 의심되거나 휴식이나 가정 요법으로 호전되지 않는 극심한 통증과 부기를 경험하는 경우 즉시 의료 조치를 취하세요.
'건강' 카테고리의 다른 글
| 손목 보호대 추천 (0) | 2024.01.04 |
|---|---|
| 손목 터널 증후군 원인과 해결 방법 (0) | 2024.01.02 |
| 인공관절 수술 종합안내 (1) | 2023.12.18 |
| 무릎 통증 원인과 예방조치 (0) | 2023.12.15 |
| 우울증 자가진단 및 극복 방법 (0) | 2023.12.14 |
