티스토리 뷰
안녕하세요? 오늘은 발가락 통증 무지외반증 원인과 해결방법에 대해서 알아보겠습니다. 발가락 통증이 발생됐다면 한번쯤 의심해봐야 하는 문제중 하나인 무지외반증은 왜 생기는 것이고 어떻게 해결하고 극복하야하는지 자세히 알아보도록 하겠습니다.

발가락 통증
발가락 통증은 누구에게나 어떤 나이에서도 발생할 수 있는 흔한 질환입니다. 이는 다양한 요인에 의해 발생할 수 있으며, 원인을 이해하는 것은 효과적인 해결책을 찾는 데 중요합니다. 이 기사에서는 발가락 통증의 원인을 탐구하고, 특히 "무지외반증"이라고 불리는 특정한 상태에 대한 원인과 해결책을 살펴보겠습니다.



1. 소개
발가락 통증은 걷거나 서 있는 것과 같은 간단한 활동을 고통스럽게 만들 수 있는 고통스러운 상태일 수 있습니다. 가끔 통증을 겪고 있거나 만성적인 발가락 통증을 경험 중이더라도 원인을 파악하여 적절한 치료를 받기 위한 것이 중요합니다.
2. 발가락 통증 이해
흔한 원인
발가락 통증은 다음과 같은 여러 흔한 원인으로 인해 발생할 수 있습니다.
- 토오 네일(토건 발톱): 발톱의 가장자리가 주변 피부로 자라는 경우.
- 외상 또는 부상: 발가락에 충격이나 손상으로 인한 멍, 상처 등.
- 관절염: 발가락 관절의 염증.
- 감염: 발가락에 영향을 미치는 세균 또는 곰팡이 감염.
- 발가락 변형: 고무나 망치발 같은 발가락 구조의 이상.
증상
발가락 통증의 증상은 기저 원인에 따라 다를 수 있지만, 주로 다음과 같습니다.
- 관련 발가락에서 발생하는 통증, 부종 및 민감함.
- 피부의 홍조 또는 변색.
- 걷거나 신발을 신는 것에 어려움.


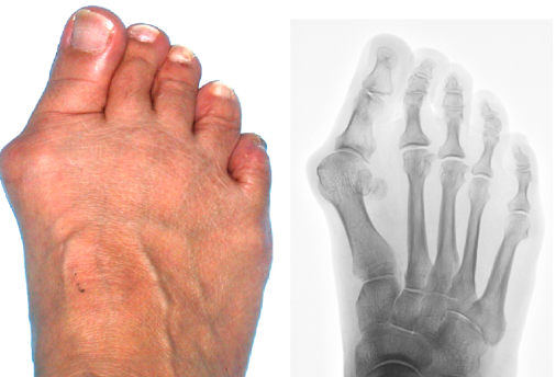
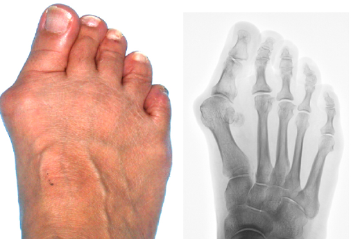
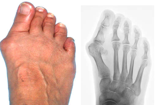
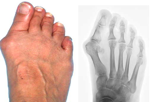
무지외반증 이해
무지외반증("hallux valgus”)이란?
무지외반증은 발가락 통증을 일으킬 수 있는 특정한 상태입니다. 이는 발가락으로 통증을 유발할 수 있는 신경 주위의 조직이 두껍고 확장되는 경우 발생합니다. 이는 특히 세 번째와 네 번째 발가락 사이의 발의 앞부분에서 심한 불편함을 초래할 수 있습니다.


무지외반증의 증상
무지외반증의 흔한 증상은 다음과 같습니다.
- 발 앞부분에서 날카로운, 화끈한 통증.
- 영향을 받는 발가락에서의 저림 또는 따끔거림.
- 신발 안에 돌 또는 물체가 있다는 느낌.
무지외반증 원인
1. 유전적 요인:
일부 사람들은 무지외반증을 유전적으로 가질 수 있습니다. 만일 가족의 어느 누구가 무지외반증을 가지고 있다면, 이를 상속할 가능성이 높아집니다.
2. 부적절한 신발:
협소하거나 높은 힐을 가진 신발을 자주 신으면 발가락이 압력을 받고 무지외반증이 발생할 가능성이 높아집니다. 신발이 발에 맞지 않는 경우 발가락이 압력을 받고 비뚤어질 수 있습니다.
3. 연령:
나이가 들면서 발의 조직은 약해지고 무지외반증이 발생할 가능성이 높아집니다. 특히 골절한 경우 연령이 증가하면 더 큰 위험을 가집니다.
4. 무릎 관절 연골 문제:
무릎의 연골 문제로 인해 보행 패턴이 변하면 발가락에 압력이 가해져 무지외반증이 발생할 수 있습니다.
무지외반증 해결 방법
1. 적절한 신발 선택:
가장 중요한 해결책 중 하나는 발에 맞는 신발을 선택하는 것입니다. 편안하고 넓은 앞코를 가진 신발을 착용해야 합니다. 높은 힐이나 협소한 신발은 피하는 것이 좋습니다.
2. 발가락 운동:
발가락 근육을 강화하고 유연성을 높이기 위한 특정 운동을 수행하세요. 이러한 운동은 발가락을 더 강하게 만들어 무지외반증을 예방하는 데 도움이 됩니다.
3. 발가락 교정기:
무지외반증이 진행된 경우 발가락 교정기를 사용하여 발가락을 제대로 정렬하고 압력을 완화할 수 있습니다.
4. 의료적 치료:
심한 경우 의사와 상담하여 의료적 치료를 고려해야 합니다. 이러한 치료에는 약물 치료, 물리 치료, 혹은 수술이 포함될 수 있습니다. 의사의 조언을 따르는 것이 중요합니다.
무지외반증은 적절한 관리와 조치를 통해 향상될 수 있으며 조기에 대응하는 것이 중요합니다. 따라서 발가락 건강을 유지하고 무지외반증을 예방하거나 관리하는 데 주의를 기울이는 것이 중요합니다.
발가락 진단 및 의료 평가
언제 병원을 찾아야 할까?
만성적이거나 심한 발가락 통증을 경험한다면 의료 전문가와 상담하는 것이 중요합니다. 조기 진단과 치료는 추가 합병증을 방지하는 데 도움이 됩니다.
진단 검사
발가락 통증의 원인을 파악하기 위해 의료 전문가는 X-선, 초음파 또는 MRI 검사를 포함한 다양한 진단 검사를 수행할 수 있습니다.
발가락 통증 낮추는 최소 해결 방법
발가락 통증을 완화하기 위해 시도해 볼 수 있는 여러 가정 요법이 있습니다.
휴식
발가락에 휴식을 주고 부종을 줄이기 위해 발을 심장보다 높게 놓는 것이 중요합니다.
얼음 찜질
영향을 받는 부위에 얼음을 적용하여 통증과 염증을 줄일 수 있습니다.
적절한 신발 선택
발을 편안하게 지지하고 발가락에 충분한 공간을 제공하는 편안한 신발을 선택하세요.
발가락 운동
특정 발가락 근육을 강화하고 유연성을 향상시키는 특정 운동을 수행하세요.
의료적 치료
일부 경우에는 발가락 통증을 완화하기 위해 의료 치료가 필요할 수 있습니다.
약물 치료
통증 완화제 및 항염증 약물이 통증과 염증 관리에 처방될 수 있습니다.
주사
코르티코스테로이드 주사는 염증을 줄이고 불편을 완화하는 데 도움을 줄 수 있습니다.
수술
심한 경우, 특히 무지외반증과 같은 상황에서는 수술을 권할 수 있습니다.
발가락 통증 예방 팁
발가락 통증을 예방하려면 다음 팁을 따르세요.
적절한 신발 선택
편안하고 지지력 있는 신발을 선택하고 발가락에 충분한 공간을 가진 신발을 골라야 합니다.
건강한 발 습관 유지
좋은 발 위생을 실천하고 발가락 변형을 신속하게 처리하세요.
정기적인 발 건강 검진
발의 건강 문제를 식별하고 처리하기 위해 발치과 의사를 정기적으로 방문하세요.
결론
발가락 통증은 일상 생활에 큰 영향을 미칠 수 있지만 올바른 지식과 적극적인 조치를 통해 통증을 완화하고 향후 불편을 방지할 수 있습니다. 집에서의 치료법이나 의료 치료를 통해 발을 돌보는 것은 전반적인 웰빙을 위해 중요합니다.
자주 묻는 질문 (FAQs)
- 발가락 통증은 심각한 의료 상황의 징후일까요?
- 가끔 발가락 통증은 흔하지만, 지속적이거나 심한 통증은 기저 문제를 나타낼 수 있습니다. 이러한 경우 의료 조언을 구하는 것이 좋습니다.
- 발가락 통증을 예방하기 위해 올바른 신발을 선택하는 것이 도움이 될까요?
- 네, 편안하고 지지력 있는 신발을 선택하면 특히 적절한 신발을 고르는 경우 발가락 통증의 위험을 크게 줄일 수 있습니다.
- 무지외반증 수술 후 회복 기간은 얼마나 걸릴까요?
- 무지외반증 수술 후 회복 기간은 사람에 따라 다르지만 일반적으로 몇 주에서 몇 개월까지 다를 수 있습니다.
- 발가락 통증을 예방하기 위한 운동이 있을까요?
- 네, 특정 발가락 강화 운동을 수행하면 발가락 통증을 예방하고 발건강을 개선할 수 있습니다.
- 발가락 통증 때문에 의사에게 언제 진료를 받아야 하나요?
- 발가락 통증이 심하거나 지속적이거나 다른 우려되는 증상과 함께 나타날 때 의료 전문가와 상담하는 것이 좋습니다.
'건강' 카테고리의 다른 글
| 다리운동 효과적인 지방빼는 5가지 방법 (0) | 2024.02.01 |
|---|---|
| 어깨운동 주의사항 및 스트레칭 방법 (0) | 2024.01.26 |
| 손목 보호대 추천 (0) | 2024.01.04 |
| 손목 터널 증후군 원인과 해결 방법 (0) | 2024.01.02 |
| 발목 통증 원인과 치료방법 종합안내 (3) | 2023.12.19 |